髄膜腫

(ずいまくしゅ)


● 髄膜腫の治療例


多くの執刀症例がありますので、整理をして病変、症状、手術効果を分かりやすくして順次更新していきます。

 



術前

小学校生の長男が居るために、合併症を絶対をださない治療を希望され当院受診。脳血管撮影検査、血管内手術による腫瘍血管(↑↑)の塞栓術を施行。摘出に伴う出血のコントロール(輸血を必要としない)を行い、腫瘍は全摘出。術後7日目に合併症なく退院。

術後

腫瘍は全摘出。術後7日目に合併症なく退院。

            病理:WHO グレード-1、術後9年再発なし


右目がほぼ失明した状態で手術を行なった62歳女性の髄膜腫の症例

術前

右目がほぼ失明した状態で手術を行なった62歳女性の髄膜腫の症例 術前頭部MRI画像

術後

右目がほぼ失明した状態で手術を行なった62歳女性の髄膜腫の症例 術後頭部MRI画像

白内障の既往があり、髄膜腫()診断が遅れた62歳女性の症例。大学病院では手術での視力回復は不可能と説明をうける。孫世話や孫の成長する顔を見たいと、わずかな視力回復の希望を持たれ情報提供書を持ち来院。


直ちに手術(術中視覚への刺激モニターとナビゲーションシステムを使用)。全摘出にて術後7日目に合併症なく退院。視力は術後経過で完全に回復。

病理:WHO グレード-1、術後8年再発なし


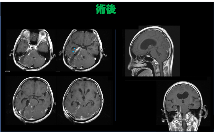
歩行障害にて車椅子で来院した後頭蓋窩髄膜腫の36歳男性の症例 術前の頭部MRI画像
歩行障害にて車椅子で来院した後頭蓋窩髄膜腫の36歳男性の症例 術後の頭部MRI画像

36歳男性、歩行障害にて大学病院にて精査、脳腫瘍と診断される。後頭蓋窩に腫瘍が存在しているだけではなく、腫瘍大きいため、手術により後頭蓋窩*を走行する脳神経障害が出現する可能性(眼球運動障害、聴力障害、顔面神経麻痺)を強く強調される。手術に不安となり、来院される。手術により全摘出し、術後10日、独歩で退院となる。

病理:WHO グレード-1、術後7年再発なし

 

後頭蓋窩*頭蓋骨後方の下の部分にある狭い立体的なスペース。ここには、重要な脳血管や脳神経が走行しているため、手術が難しい部位です(深ければ深いほ程、大きければ大きい程難しい)この症例は、難易度の高い手術の一つになります。

めまいと歩行障害により車椅子で来院した後頭蓋窩髄膜腫(斜台錐体部髄膜腫);72歳女性の症例
めまいと歩行障害により車椅子で来院した後頭蓋窩髄膜腫(斜台錐体部髄膜腫);72歳女性の症例 術前のMRI画像
めまいと歩行障害により車椅子で来院した後頭蓋窩髄膜腫(斜台錐体部髄膜腫);72歳女性の症例 術後のMRI画像

72歳女性、歩行障害にて近隣の総合病院を受診、髄膜腫と画像診断される。腫瘍が大きく後頭蓋窩に存在してため、合併症(後遺症)の出現の可能性を強調される。症状が出現しており、選択肢がないため手術相談にて来院。脳神経が走行している部位や血管との癒着部位をごく一部残したが(部分;電気焼灼による処置を行い再発予防),ほぼ全摘出、術後14日、独歩で退院となる。

 

病理:WHO グレード-1、術後8年再発なし

 

後頭蓋窩での腫瘍は、頭蓋骨内の他の立体的なスペースと比べると腫瘍が大きくなると症状が出やすいと言えます。平衡機能障害によるふらつきと失調(手足に力は入るけれども、上手に動かせない)による歩行障害が多く認められます。この症例も、難易度の高い手術になります。


難聴にて発症した手術が難しい後頭蓋窩髄膜腫(斜台錐体部髄膜腫)の46歳女性の症例
難聴にて発症した手術が難しい後頭蓋窩髄膜腫(斜台錐体部髄膜腫)の46歳女性の症例 術前の頭部MRI画像
難聴にて発症した手術が難しい後頭蓋窩髄膜腫(斜台錐体部髄膜腫)の46歳女性の症例 術後の頭部MRI画像

難聴を認めた46歳女性です。脳神経症状(難聴)のみの自覚症状でした。職場近くの総合病院で診断されましたが、手術のリスクを深刻に受け止められなければならない事を説明され、手術の相談にて来院されました。脳神経走行付近の腫瘍を一部残してほぼ全摘出しました。手術による新たな症状出現はなく、退院され社会生活に戻られる。

 

病理:WHO グレード-1、術後6年再発なし

 

この様な後頭蓋窩に広く横広がりで上下に厚く成長している腫瘍は、手術の難易度がさらに高くなります。手術の技術や手技的難易度の他に、患者さんを入院前と同じ様な生活に戻してあげないといけません。手術で腫瘍を全摘出できても、社会生活どころか日常生活に戻れない様になってしまわない様に考えての手術となります。難易度が、かなり高い手術の1例です。

多発性髄膜腫の症例
多発性髄膜腫の症例のMRI画像1の術前の画像

2つ以上の髄膜腫(多発性髄膜腫)が存在する事は必ずしも稀ではないと言われています。髄膜腫の5-10%位の頻度で認められるとの報告がされています。症状は、当然の事ながら腫瘍の存在部位や各々の大きさによります。軽度の頭痛のこともありますが、てんかん発作や手足の運動障害で認められる事もあります。

この患者さまは、頭痛・めまい精査にて都内の大学病院を受診、画像検査で多発性髄膜腫と診断される。治療のリスク説明に不安や入院精査中に不信感を抱く事があり、治療を受けることに強い不安が出てしまい当院受診し手術となる。

多発性髄膜腫の症例のMRI画像1の術後の画像

肉眼的に確認できる腫瘍を全て摘出。脳と強く癒着していた部(↑)は、無理に剥がす事で下肢の運動障害を引き起こす可能性があ流ため、薄くして残している。術後は、特に問題なく早期退院されている。

病理:WHO グレード-1  術後:6年経過しているが再増大もしくは再発は認められていない。

 

* このタイプの腫瘍摘出術は、技術的に難しくなる事もあり、手術中に合併症(後遺症)を出さない様に色々な判断を要する事が多い。

多発性髄膜腫の症例のMRI画像2
多発性髄膜腫の症例のMRI画像2の術前の画像

髄膜腫の再増大症例です。他施設で部分的な摘出が行われた。病理検査でグレード−2の診断を受けたために放射線治療(サイバーナイフ)を都内の病院で受けた。しかし、経過で増大傾向が継続していたため当院を紹介され受診。手術を行う事となる。

 

多発性髄膜腫の症例のMRI画像2の術後の画像

前回の手術と放射線の影響との影響で、脳との癒着が強い場所を多く認めた。また、脳表の血管との癒着もさらに強く認められた。可能な限り摘出、肉眼的にほぼ全摘出された。

 

病理診断:グレード−2 術後再増大は認められていないが、腫瘍と連続した部位に新たに再発が認められた(↓の画像)。

 

多発性髄膜腫の症例のMRI画像2の術後の再発画像

 

再発については、「再発」のページに他に記載しています。術後の画像フォローは、担当医の方から終了を勧めることは少ないと思われますが、1−2年毎の定期的な画像検査は必要です。 


(当ホームページ内の移動;髄膜腫)


▶ 手術に関わるページ(当ホームページ内の移動)